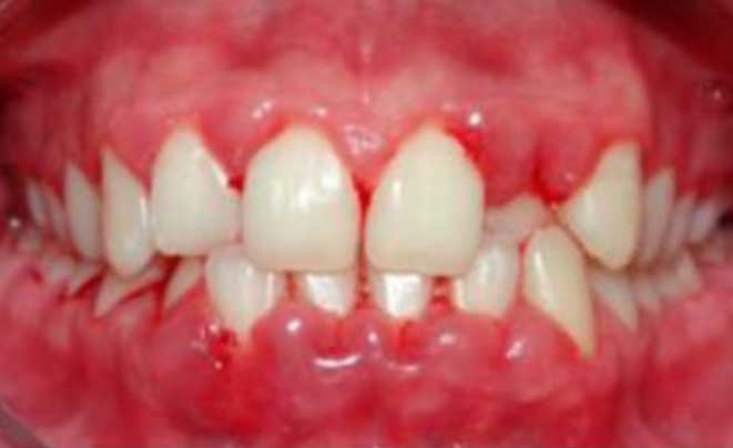
Las personas con diabetes tienen mayor riesgo de padecer enfermedades de las encías. Las formas más comunes de enfermedad periodontal son la gingivitis y la periodontitis.
Es la inflamación de la encía causada por la acumulación de bacterias a nivel del margen gingival. Es reversible si se trata de forma oportuna.
Características:
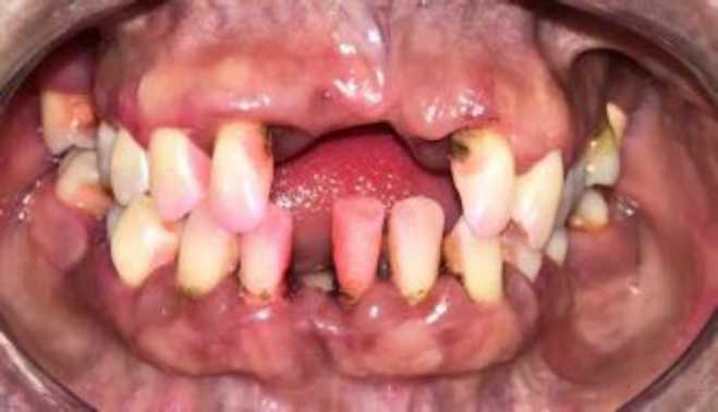
Es una enfermedad inflamatoria e infecciosa ocasionada por la acumulación de bacterias que genera la destrucción del hueso que rodea los dientes.
Características:
La periodontitis puede elevar los niveles de glucosa en la sangre y con ello afectar el control de la diabetes.
Los niveles altos de glucosa aumentan el riesgo de desarrollar periodontitis y que ésta sea más grave.
Tratamiento con especialista en periodoncia
Se sugiere que todas las personas al ser diagnosticadas con diabetes, reciban una evaluación periodontal completa, para la prevención o detección de enfermedades periodontales.
El tratamiento periodontal, contribuye a mejorar el control de la diabetes. La resolución de la periodontitis disminuye los niveles de glucosa en la sangre.
Candidiasis oral: infección ocasionada por el hongo oportunista Candida albicans. Se asocia con descontrol metabólico, mala higiene oral y resequedad bucal.

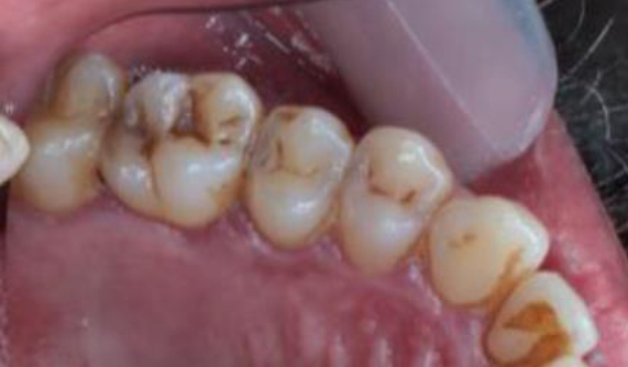
Caries: destrucción dental causada por los ácidos que liberan las bacterias a partir de restos de alimentos. Puede presentarse de forma más frecuente y agresiva.

Sequedad bucal: se presenta por una alteración en el flujo y calidad de la saliva. Esto genera irritación de mucosas y disminución del barrido de bacterias.

1. Coloque las cerdas del cepillo a 45° hacia la encía y haga un movimiento de barrido de arriba hacia abajo en los dientes superiores, al menos 10 veces cada dos dientes, sin saltar zonas.

2. Cepille las caras internas de los molares del mismo modo que las externas.

3. Coloque el cepillo de forma vertical para limpiar las caras internas de los dientes frontales, de arriba hacia abajo.

4. Cepille los dientes inferiores colocando las cerdas hacia la encía y realice el barrido de abajo hacia arriba. 
5. Cepille las caras internas de los molares del mismo modo que las externas.

6. Al cepillar los dientes frontales por la cara interna, coloque el cepillo de forma vertical y limpie de abajo hacia arriba.

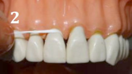
1. Tome un tramo de 30 cm de hilo dental y enrédelo en los dedos medios. Con los dedos índices y pulgares sujete el hilo.

2. Introduzca el hilo cuidadosamente entre dos dientes. Recárguelo hacia un diente y limpie desde la encía hacia abajo en los dientes superiores, y de la encía hacia arriba en los inferiores, con un movimiento de vaivén.

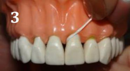
3. Recorra el hilo y repita los pasos entre todos los dientes.
